Versuchen GOLD - Frei
TAPPING YEAST TO SET CANCEROUS CELLS RIGHT
The New Indian Express Mysuru
|February 18, 2026
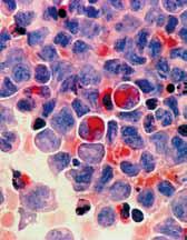
RESEARCHERS may have found a way to reverse several forms of cancer by going to the root of the problem.
-
Cancer is a result of uncontrolled cell proliferation. It occurs when the organelles called mitochondria — responsible for cell respiration and energy production — fail and cause abnormal proliferation, which leads to malignant tumours.
Diese Geschichte stammt aus der February 18, 2026-Ausgabe von The New Indian Express Mysuru.
Abonnieren Sie Magzter GOLD, um auf Tausende kuratierter Premium-Geschichten und über 9.000 Zeitschriften und Zeitungen zuzugreifen.
Sie sind bereits Abonnent? Anmelden
WEITERE GESCHICHTEN VON The New Indian Express Mysuru
The New Indian Express Mysuru
BBL interested in hosting games at Chepauk
IN an interesting development, Cricket Australia is considering hosting Big Bash League games at the MA Chidambaram Stadium next season.
1 min
February 18, 2026
The New Indian Express Mysuru
TAPPING YEAST TO SET CANCEROUS CELLS RIGHT
RESEARCHERS may have found a way to reverse several forms of cancer by going to the root of the problem.
1 min
February 18, 2026
The New Indian Express Mysuru
He pressured US to be more open, equitable society
JESSE JACKSON: OCT 8, 1941 - FEB 17, 2026
1 mins
February 18, 2026
The New Indian Express Mysuru
Raids in Raj Jal Jeevan Mission scam, 9 nabbed
NINE people, including a Chief Engineer, have been arrested in the alleged %900 crore scam linked to the Jal Jeevan Mission, triggering one of the largest anti-corruption crackdowns in Rajasthan in recent years.
1 min
February 18, 2026
The New Indian Express Mysuru
2 separate norms for SIR in Bihar, Bengal: Mamata
WEST Bengal Chief Minister Mamata Banerjee on Tuesday stepped up her attacks against the Election Commission of India (ECI) for showing a discriminatory attitude in connection with the Special Intensive Revision (SIR) of electoral rolls in the state.
1 min
February 18, 2026
The New Indian Express Mysuru
Bullock cart race back in Punjab rural olympics
THE Kila Raipur Rural Olympics-2026 kicked off in Ludhiana on Tuesday, marking the revival of iconic bullock cart races after a 12-year hiatus.
1 mins
February 18, 2026
The New Indian Express Mysuru
Pak govt has taken this to inhumane level: Gower
AS many as 14 former captains including Sunil Gavaskar and Kapil Dev on Tuesday wrote a letter to the Pakistan government expressing their concerns about jailed cricketer-turned-politician Imran Khan’s deteriorating health.
1 min
February 18, 2026
The New Indian Express Mysuru
Predictable laws, wild outcomes ... it’s chaos
CHAOS sounds dramatic.
3 mins
February 18, 2026
The New Indian Express Mysuru
Ton that could lift Canada
WHILE Yuvraj Samra is bound to hog the limelight after being the first centurion from Canada in the T20 World Cup (also the youngest at this level), his innings could carry huge significance when it comes to the growth of the sport in the country.
1 min
February 18, 2026
The New Indian Express Mysuru
Axar, common man’s superstar
All-rounder set to play his first World Cup match at his home ground
2 mins
February 18, 2026
Listen
Translate
Change font size
